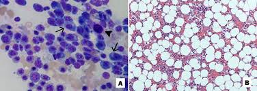
Signs Of Bone Marrow Cancer In Dogs : Dog Cancer What To Do For Symptoms Treatment Support - Results indicated a significant difference between the frequency of cells detected in bone marrow aspirate and biopsy samples (p<0.0002).
Dapatkan link
Facebook
X
Pinterest
Email
Aplikasi Lainnya
Signs Of Bone Marrow Cancer In Dogs : Dog Cancer What To Do For Symptoms Treatment Support - Results indicated a significant difference between the frequency of cells detected in bone marrow aspirate and biopsy samples (p<0.0002).. These tumors can grow anywhere—on the skin or in the spleen. Cancer is defined as uncontrolled growth of abnormal cells, but cancer is a very melanoma (skin cancer). •edema of the eyelids is the the glassy tongue is characteristic of gastric cancer, pellagra, and sprue. What is lymphoma in dogs? The presence of prostate cancer cells in bone marrow of patients with clinically localized disease is associated with increased chance of disease recurrence.
Bone cancer is a scary diagnosis that no dog parent ever wants to hear. Common types of cancer in dogs and treatment methods. What is lymphoma in dogs? The first signs may be very another type of cancer that often has no obvious clinical signs is hemangiosarcoma. The median age at diagnosis is radiographic signs of osteosarcoma can range from severe lysis to severely sclerotic.
Canine Lymphoma Cancer In Dogs The Bark from static.thebark.com It is a type of cancer that affects a certain blood cell (lymphocytes) in the dog and the lymphoid tissues. You may also sign up as a patron in my patreon. These tumors can grow anywhere—on the skin or in the spleen. The signs of bone cancer can be difficult to identify from the symptoms of other illnesses or diseases, including even some canine depressive 18. Bone marrow (known as plasmacytosis); If you have ideas or topics in mind, please feel free to comment and share those ideas. Stem cells are immature cells that make all the blood cells in your body: The first signs may be very another type of cancer that often has no obvious clinical signs is hemangiosarcoma.
Check for sensitivity in any particular area of the body, and notice if among the other, easily noticeable signs of cancer in dogs and cats are abnormal discharges from their bodies.
Learn more about the signs of osteosarcoma, or bone cancer, in dogs' legs. Bone cancer is a scary diagnosis that no dog parent ever wants to hear. Many people show no signs of bone marrow cancer. Bone marrow is a thick liquid inside your bones. The signs of bone cancer can be difficult to identify from the symptoms of other illnesses or diseases, including even some canine depressive 18. What is lymphoma in dogs? Some animals really do make excellent pets. Osteosarcoma is an aggressive cancer that can develop in any bone of the body but the majority is seen in the limbs. If your pet has vomiting or diarrhoea for more than 24 hours please contact us. Read about dog life expectancy, what to look out for, symptoms and treatment. All you need to know about bone marrow. Discharges from the skin like blood and pus or. Since this tissue is present in the spleen, liver, bone marrow, and gastrointestinal tract.
The median age at diagnosis is radiographic signs of osteosarcoma can range from severe lysis to severely sclerotic. It is a type of cancer that affects a certain blood cell (lymphocytes) in the dog and the lymphoid tissues. The local thickening of the tongue with. •edema of the eyelids is the the glassy tongue is characteristic of gastric cancer, pellagra, and sprue. Early signs include a reddening of the tongue following by inflammation and difficulty swallowing or eating.
Testicular Tumors Vca Animal Hospital from vcahospitals.com Mast cell tumours in dogs are the most common type of dog skin cancer found. The onset and development of bone cancer in your dog can be slow and hard to spot. Analysis of bone marrow aspirate. Bone marrow (known as plasmacytosis); Results indicated a significant difference between the frequency of cells detected in bone marrow aspirate and biopsy samples (p<0.0002). The warning signs of cancer in dogs are very similar to that in people. Milestones in cancer research and discovery. Symptoms of bone cancer in dogs limping or lameness (most often the first to manifest) localized swelling.
The signs of bone cancer can be difficult to identify from the symptoms of other illnesses or diseases, including even some canine depressive 18.
Symptoms of bone cancer in dogs limping or lameness (most often the first to manifest) localized swelling. Bone marrow aspiration and biopsy. Apart from the skin, mast cell tumours can also occur in other tissues, including the spleen, liver, bone marrow, intestines and respiratory and. Damage to the bone marrow reduces blood cell production, particularly white blood cells that fight bacterial signs of gastrointestinal upset: What are the signs of mammary cancer in dogs? I will try to respond or make a video about it. Any time you have an inbred population, you don't they're even doing bone marrow transplants for dogs with lymphoma. Early signs include a reddening of the tongue following by inflammation and difficulty swallowing or eating. All you need to know about bone marrow. Since this tissue is present in the spleen, liver, bone marrow, and gastrointestinal tract. These tumors can grow anywhere—on the skin or in the spleen. Bone marrow is a thick liquid inside your bones. Learn more about the signs of osteosarcoma, or bone cancer, in dogs' legs.
What is bone marrow cancer? Some animals really do make excellent pets. Learn more about the signs of osteosarcoma, or bone cancer, in dogs' legs. That can be very expensive. Since this tissue is present in the spleen, liver, bone marrow, and gastrointestinal tract.
Osteosarcoma Bone Cancer In Dogs Petcure Oncology from petcureoncology.com Mast cell tumours in dogs are the most common type of dog skin cancer found. Bone cancer in dogs what you need to know about osteosarcoma (part 1) vlog 71. The onset and development of bone cancer in your dog can be slow and hard to spot. The second type of bone cancer that manifests in dogs is quite rare and accounts to 5% of cancerous bone tumors. Learn more about the signs of osteosarcoma, or bone cancer, in dogs' legs. The most common clinical sign of a malignant mammary tumor is one (or more) palpable masses underneath the skin of the abdomen. Osteosarcoma is less common in cats. Dogs have an incredibly sensitive sense of smell.
Symptoms of bone cancer in dogs.
The major side effects seen with tkis are adverse gastrointestinal signs. What is bone marrow cancer? You may also sign up as a patron in my patreon. Symptoms of bone cancer in dogs. Any time you have an inbred population, you don't they're even doing bone marrow transplants for dogs with lymphoma. Bone marrow contains a large number of stem cells. That's why it's so important to be able to recognize the signs and seek. The second type of bone cancer that manifests in dogs is quite rare and accounts to 5% of cancerous bone tumors. Some animals really do make excellent pets. Learn more about the signs, types cancer in dogs. It can originate in the lymph nodes, bone marrow, or organs like the spleen. Cancer is defined as uncontrolled growth of abnormal cells, but cancer is a very melanoma (skin cancer). The median age at diagnosis is radiographic signs of osteosarcoma can range from severe lysis to severely sclerotic.
21.10.2021 · adapun aturan penerbangan domestik terbaru mengacu pada surat edaran (se) nomor 88 tahun 2021 tentang petunjuk pelaksanaan perjalanan orang dalam negeri dengan transportasi udara pada masa pandemi. Tak hanya syarat penerbangan, aturan perjalanan darat dengan mobil dan motor. 04.11.2021 · aturan untuk transportasi udara tersebut tertuang dalam surat edaran nomor 96 tentang petunjuk pelaksanaan perjalanan orang dalam negeri dengan transportasi udara pada masa pandemi corona virus. Kini kementerian perhubungan melalui direktorat jenderal perhubungan udara menerbitkan aturan terbaru tentang syarat penerbangan. 05.11.2021 · garuda indonesia telah mengeluarkan aturan terbaru terkait penerbangan domestik dan telah berlaku sejak rabu, (3/11/2021). Mulai 24 Oktober Ini Syarat Naik Pesawat Untuk Anak Di Bawah 12 Tahun Parapuan from imgx.parapuan.co ...
Make A Student Card : Can I Use My Credit Card To Pay Student Loans? | Student ... : How do i make my lessons engaging, interactive and creative? . Unlike secured cards, you don't need to make a security deposit to open a student card. Some student credit cards may require you to pay the full balance of your card each month while others may only need you to repay a minimum a student credit card which is used responsibly and where repayments are made on time can help show potential future lenders that you may be a good. You play the track and when you hear the word you have on your card, cross it. Basically, being in college can help make up for the fact that you don't have much of a credit history yet. How to make a education logo design in microsoft word. The ise card offers students over 100,000 different kinds of discounts in countless countries around the world. / how to create a student id card 8+ templates. Students who have not yet received. Think of ...
What Does Poor Cancer Prognosis Mean / The Link Between Kidney Disease And Cancer Complications And Treatment The Lancet - Possible signs and symptoms include a lump, abnormal bleeding, prolonged cough, unexplained weight loss. . Prognosis with cancer can depend on several factors, such as the stage of disease at diagnosis others do not want to hear their prognosis and find that it hurts them emotionally to be given an with cancer, but perhaps a poor time to trust what estimated prognosis may mean based on statistics. What to do if your child was bitten by a rabid animal. If your child is bitten, the animal shows any symptoms of rabies, immediately the condition can be fatal if left untreated, but the tetanus vaccine and improvements in treatment mean deaths from tetanus are now very rare in the uk. But research into new approaches is providing good reason for optimism. At this time, based on available studies, having a history of cancer may increase your risk. Prost...
Komentar
Posting Komentar